sábado, 1 de noviembre de 2014

ANEMIAS Y LEUCEMIAS 
ANEMIAS

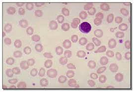
Anemia microcitica hipocromica


v  Aumento: 100X
v  Tinción: Wright
v  Descripción: Se manifiesta por un VCM menor de 80 fL y una CHbCM menor de 32g/dL, con células pequeñas que tienen aumento de la palidez central en el extendido. Las anemias microcíticas por lo general son consecuencia de una anomalía de la síntesis de Hb, ferropenia, deficiencia de la síntesis del hierro hemo, talasemias y enfermedades crónicas.
v  Referencia: Carr, J. & Rodak, B. (2010). Atlas de Hematología Clínica. (3ra. Ed.). Buenos Aires: Medica Panamericana.




Anemia normocitica normocromica



v  Aumento: 40X
v  Tinción: Wright
v  Descripción: El VCM es de 80-94 fL, HbCM de 27 a 32 pg y la CHbCM de 32 a 36 g/dL (%). Las anemias normocíticas son causadas por lo general son causadas por hemólisis, hemorragias agudas, tumores malignos (leucemia, linfoma, carcinoma), esplenomegalia (los eritrocitos son atrapados y destruidos en el bazo), agentes tóxicos, enfermedades crónicas, infecciones, artritis reumatoidea y enfermedades renales y hepáticas.
v  Referencia: Carr, J. & Rodak, B. (2010). Atlas de Hematología Clínica. (3ra. Ed.). Buenos Aires: Medica Panamericana.


Anemia macrocitica megaloblástica

v  Aumento: 40X
v  Tinción: Wright
v  Descripción: Las anemias megaloblásticas por lo general se producen por deficiencia de vitamina B12 o de folato. Este tipo de anemia se caracteriza por la presencia de macrocitos  ovalados u células en forma de lágrima en sangre periférica y de megaloblastos o precursores de eritrocitos nucleados grandes en la médula ósea. También se caracteriza por la presencia de eritrocitos grandes, que son redondos en su mayor parte, pero los nucleados presentes en la médula ósea no muestran alteraciones megaloblásticas de maduración.
v  Referencia: Carr, J. & Rodak, B. (2010). Atlas de Hematología Clínica. (3ra. Ed.). Buenos Aires: Medica Panamericana.

Macrociticas sin megaloblastosis


v  Aumento: 100X
v  Tinción: Wright
v  Descripción: Presencia de reticulocitos altos en casos de anemia hemolítica o post-hemorrágica. La severidad de la anemia y el grado de macrocitosis dependen de la severidad y la duración de la carencia.
v  Referencia: Carr, J. & Rodak, B. (2010). Atlas de Hematología Clínica. (3ra. Ed.). Buenos Aires: Medica Panamericana.

Anemia ferropriva




v  Aumento: 100X
v  Tinción: Wright
v  Descripción: En este tipo de anemia los glóbulos rojos aparecen normociticos normocromicos, pero en número reducido, debido a que se pierden más glóbulos sanguíneos y hierro de lo que su cuerpo puede reponer, o a que no hay una adecuada absorción del hierro.
v  Referencia: Carr, J. & Rodak, B. (2010). Atlas de Hematología Clínica. (3ra. Ed.). Buenos Aires: Medica Panamericana.

Anemia hemolítica

                                  


v  Aumento: 100X
v  Tinción: Wright
v  Descripción: En este tipo de  anemia hemolítica, los glóbulos rojos en la sangre se destruyen antes de lo normal. Por lo que se encuentran globulos rogos destruidos y deformados.  
v  Referencia: Carr, J. & Rodak, B. (2010). Atlas de Hematología Clínica. (3ra. Ed.). Buenos Aires: Medica Panamericana.

Anemia de células falciformes



v  Aumento: 100X
v  Tinción: Wright
v  Descripción: En este tipo de anemia se  producen glóbulos rojos en forma de medialuna. La palabra "falciforme" significa "en forma de hoz". La hoz es un instrumento para cortar hierba que tiene una hoja en forma de medialuna o "C". Las células falciformes son rígidas y pegajosas.
v  Referencia: Carr, J. & Rodak, B. (2010). Atlas de Hematología Clínica. (3ra. Ed.). Buenos Aires: Medica Panamericana.

Hemoglobinopatía S


v  Aumento: 100X
v  Tinción: Wright
v  Descripción: En este tipo de anemia la cual presenta una alteración de la estructura de la globina beta, la cual cambia la forma de los glóbulos rojos, por lo que se observa la presencia de drepanocitos.
v  Referencia: Carr, J. & Rodak, B. (2010). Atlas de Hematología Clínica. (3ra. Ed.). Buenos Aires: Medica Panamericana.

Hemoglobinopatía C



v  Aumento: 100X
v  Tinción: Giemsa
v  Descripción: En este tipo de anemia  causada por un tipo anormal de hemoglobina llamada hemoglobina C, en la cual hay una sustitución de un residuo de lisina por un residuo de ácido glutámico en la posición 6 de la cadena de ß-globina. Lo cual hace que el transporte de oxígeno se deficiente.
v  Referencia: Carr, J. & Rodak, B. (2010). Atlas de Hematología Clínica. (3ra. Ed.). Buenos Aires: Medica Panamericana.

Hemoglovinopatia E


v  Aumento: 100X
v  Tinción: Wright
v  Descripción: En este tipo de anemia  se puede observar una anemia leve con microcitos y células blanco. La vida media del eritrocito es corta.
v  Referencia: Carr, J. & Rodak, B. (2010). Atlas de Hematología Clínica. (3ra. Ed.). Buenos Aires: Medica Panamericana.
v   
Talasemia


v  Aumento: 100X
v  Tinción: Wright
v  Descripción: En este tipo de anemia  se pueden observar eritrocitos pálidos (hipocrómicos). Además varias formas (poiquilocitosis), y pequeños (microcíticos), los cuales tienen menor capacidad para transportar el oxígeno.
v  Referencia: Carr, J. & Rodak, B. (2010). Atlas de Hematología Clínica. (3ra. Ed.). Buenos Aires: Medica Panamericana.


LEUCEMIAS MIELOIDES CRONICAS
LeusemiaM0: minimamente diferenciada


v  Aumento: 100X
v  Tinción: Wright
v  Descripción: En este tipo de leucemia M0  los blastos no desarrollan las características morfológicas mieloides
v  Referencia: Carr, J. & Rodak, B. (2010). Atlas de Hematología Clínica. (3ra. Ed.). Buenos Aires: Medica Panamericana.

Leucemia M1: Leucemia mieloblastica aguda sin maduración



v  Aumento: 100X
v  Tinción: Wright
v  Descripción: En la leucemia M1  los mieloblastos constituir más del 30% de las células nucleadas de la medula y la relación M:E es mayor que 1. El 90% de las células no eritroides es mieloblasto.
v  Referencia: Carr, J. & Rodak, B. (2010). Atlas de Hematología Clínica. (3ra. Ed.). Buenos Aires: Medica Panamericana.

Leucemia M2: Leucemia mieloblastica a guda con maduración



v  Aumento: 100X
v  Tinción: Wright
v  Descripción: En este tipo de leucemia M2 el 30% son blastos en un extendido de medula osea y las células mieloides excedenen número los eritrocitos nucleados. Los blastos constituyen menos del 90% de las células no eritroides y hay maduración más alla del estadio de promielocito en más del 10% de las células no eritroides. Los monocitos deben de constituir menos del 20% de las células no eritroides. La mayoría de los blastos son positivos cuando se colorea con mieloperoxidasa o sudan negro B.
v  Referencia: Carr, J. & Rodak, B. (2010). Atlas de Hematología Clínica. (3ra. Ed.). Buenos Aires: Medica Panamericana.

Leucemia M3: Promielocítica aguda

v  Aumento: 100X
v  Tinción: Wright
v  Descripción: En una leucemia M3 hipergranular se observa más de un 30% de mioblastos, promielocitos con gránulos abundantes,  y numerosos cuerpos de Auer apilados.
En una leucemia M3 microgranular se observan múltiples gránulos pequeños.
v  Referencia. Rodak,C. (2009). Atlas de hematología clínica. Madrid España: Médica Panamericana.

Leucemia M4: Mielomonocítica aguda


v  Aumento: 100X
v  Tinción: Wright
v  Descripción: En una leucemia M4 se observan células malignas granulociticas y monociticas, donde el recuento absoluto de monocitos en sangre periférica es de 5,000/mm3. Y
v  Referencia. Rodak,C. (2009). Atlas de hematología clínica. Madrid España: Médica Panamericana.

Leucemia M5: Monocítica aguda


v  Aumento: 100X
v  Tinción: Tinción alfa-naftilacetatoesterasa
v  Descripción: En una leucemia M5 se observan células mal diferenciadas, el 80% son monoblastos y Predominan monocitos y promonocitos con núcleos cerebriformes grandes que pueden tener nucleolos y citoplasma gris traslúcido abundante con gránulos finos de color rosado.
v  URL de la imagen: Recuperada de: http://www.boloncol.com/images/stories/boletin11/hem16g.jpg  
v  Referencia. Rodak,C. (2009). Atlas de hematología clínica. Madrid España: Médica Panamericana.

Leucemia M6: Eritroleucemia aguda


v  Aumento: 100X
v  Tinción: Wright
v  Descripción: En una leucemia M6 se observa una hiperplasia de precursores  eritroides, más del 50%  de las células de la MO son eritrocitos nucleados. Y el resto de células que se observan son mieloblastos.
v  Referencia. Rodak,C. (2009). Atlas de hematología clínica. Madrid España: Médica Panamericana.

Leucemia M7: megacariocítica aguda


v  Aumento: 100X
v  Tinción: Wright
v  Descripción: En una leucemia M7 se observa una de 30% de blastos en MO, 30% de los cuales son megacarioblastos. Este es el tipo de LMA mas raro y corresponde al 1% de los casos.  
v  URL de la imagen: Recuperada de: http://conganat.uninet.edu/IIICVHAP/posters/033/FIG2HEC.jpg  
v  Referencia. Rodak,C. (2009). Atlas de hematología clínica. Madrid España: Médica Panamericana.



LEUCEMIAS LINFOIDES AGUDAS

Leucemia L1


v  Aumento: 100X
v  Tinción: Wright
v  Descripción: En una leucemia L1 los blastos son de tamaño pequeño. Y por lo general, el núcleo es redondo y regular, la cromatina es fina o ligeramente grumosa, con la presencia de cero o un nucléolo poco visible. El citoplasma es escaso, con basofilia periférica. 
v  Referencia. Rodak,C. (2009). Atlas de hematología clínica. Madrid España: Médica Panamericana.

Leucemia L2


v  Aumento: 100X
v  Tinción: Wright
v  Descripción: En una leucemia L2 los blastos son de  gran tamaño, el núcleo es de forma ovalada e irregular, la cromatina es  fina, con la presencia de uno o nucléolos prominentes. El citoplasma, es abundante con basofilia periférica. Se pueden observar los blastos eb en espejo.
v  Referencia. Rodak,C. (2009). Atlas de hematología clínica. Madrid España: Médica Panamericana.

Leucemia L3




v  Aumento: 100X
v  Tinción: Wright
v  Descripción: En una leucemia L3 los blastos se observa  de  gran tamaño, la cromatina es muy fina, con la presencia de uno o más nucléolos grandes y prominentes. El núcleo puede ser ovalado o redondo y regular, El citoplasma es abundante, con basofilia marcada y la presencia de vacuolas citoplasmáticas prominentes y abundantes.
v  Referencia. Rodak,C. (2009). Atlas de hematología clínica. Madrid España: Médica Panamericana.

LEUCEMIAS LINFOIDES CRONICAS

Leucemia Lifocíta Crónica

v  Aumento: 100X
v  Tinción: Wright
v  Descripción: En una Leucemia Lifocíta Crónica  se observan acumulación y proliferación de  linfocitos de pequeño tamaño y aspecto maduro en sangre.
v  Referencia. Rodak,C. (2009). Atlas de hematología clínica. Madrid España: Médica Panamericana.

 Leucemia de células pilosas

v  Aumento: 100X
v  Tinción: Wright
v  Descripción: En una Leucemia de células pilosas las célula se caracterizan por tener prolongaciones en el citoplasma “pelos”, una cromatina finamente granular, núcleos reniformes u ovalados; además poseen fosfatasa ácida positiva y resistente al tartrato.
v  Referencia. Aura Rosa Manascero. 2003. Hematología: herramienta para el diagnóstico: atlas de morfología celular, alteraciones y enfermedades relacionadas. 1ª Ed. Colombia. CEJA.

LEUCEMIA MIELOIDE CRÓNICA
Leucemia Mieloide Crónica
                        

v  Aumento: 100X
v  Tinción: Wright
v  Descripción: En una Leucemia mieloide crónica hay elevada cantidad de leucocitos, trombosis, anemia, hemofilia, basófilia y una gran cantidad de mielocitos en sangre periférica. Hay menos de un 10% de leucocitos circulantes, además se puede observar granulación toxica en algunos células.

v  Referencia. Aura Rosa Manascero. 2003. Hematología: herramienta para el diagnóstico: atlas de morfología celular, alteraciones y enfermedades relacionadas. 1ª Ed. Colombia. CEJA.

1 comentario:

  1. Ser herpes es como haber pasado por el infierno; Bueno, gracias especiales al Dr. Imoloa por su poderosa cura a base de hierbas para curarme de la enfermedad del herpes. Me diagnosticaron esta enfermedad en el año 2014. Tú estaba tomando mis medicamentos pero no era yo mismo. Hasta el mes pasado, mi amigo vino a verme y me dijo que había visto muchos testimonios sobre cómo un gran médico poderoso curaba a las personas de la enfermedad del herpes. Tú nunca creo en los medicamentos a base de hierbas, me dije a mí mismo visto es creer que tomé su nombre y lo busqué en GOOGLE, yo mismo vi muchos testimonios. Rápidamente, copié su correo electrónico, le envié un correo electrónico, y le dije que obtuviera los elementos enumerados necesarios para preparar mi cura porque para entonces no tengo mucha fe en él, unos días después me envió un mensaje de que ya había terminado de preparar la cura. Entonces me lo envía a través del servicio DHL Courier. Recibí mi paquete, era una cura a base de hierbas como lo describió el Dr. IMOLOA. Tomé la cura a base de hierbas y después de tomarla durante dos semanas y algunos días. Me dijo que me hiciera un chequeo, fui al hospital y me hice una prueba, y me curé. Rápidamente lo llamé y le conté lo sucedido, me felicitó. Prometo contarle al mundo sobre él. Debe comunicarse con el Dr. imoloa hoy directamente a su dirección de correo electrónico para cualquier tipo de problema de salud; lupus, úlcera bucal, cáncer de boca, dolor corporal, fiebre, hepatitis ABC, sífilis, diarrea, VIH / SIDA, enfermedad de Huntington, acné de espalda, insuficiencia renal crónica, enfermedad de Addison, dolor crónico, dolor de Crohn, fibrosis quística, fibromialgia, inflamatorio Enfermedad intestinal, enfermedad micótica de las uñas, enfermedad de Lyme, enfermedad de Celia, linfoma, depresión mayor, melanoma maligno, manía, melorreostosis, enfermedad de Meniere, mucopolisacaridosis, esclerosis múltiple, distrofia muscular, artritis reumatoide, enfermedad de Alzheimer, enfermedad de parkinson, cáncer de vagina, epilepsia Trastornos de ansiedad , Enfermedad autoinmune, Dolor de espalda, Esguince de espalda, Trastorno bipolar, Tumor cerebral, Maligno, Bruxismo, Bulimia, Enfermedad del disco cervical, Enfermedad cardiovascular, Neoplasias, enfermedad respiratoria crónica, trastorno mental y del comportamiento, Fibrosis quística, Hipertensión, Diabetes, Asma, Autoinmune artritis media inflamatoria ed. enfermedad renal crónica, enfermedad inflamatoria de las articulaciones, impotencia, espectro alcohólico feta, trastorno distímico, eccema, tuberculosis, síndrome de fatiga crónica, estreñimiento, enfermedad inflamatoria intestinal. Puede contactar por correo electrónico: drimolaherbalmamdemedicine@gmail.com/ Whats app + 234781986098.Website- http / www.drimolaherbalmademedicine.wordpress.com.

    ResponderBorrar